SEOUL BARUNSONG DENTAL CLINIC

임플란트는? 서울바른송치과

임플란트, 제대로 치료해야 하기에
풍부한 경험과 노하우를 가진
서울대 출신 의료진이 책임지고 진료합니다.

SEOUL BARUNSONG DENTAL CLINIC

당신에게 집중하고 당신과 함께합니다.
서울바른송치과 임플란트

임플란트는 단순하게 인공치아를 심는 것이 아닌 한 번에 제대로 오랜 시간이 지나도 부작용 없이 제 기능을 할 수 있어야 하는 수술이어야 합니다.
이토록 중요한 수술이기에 각 개인 상태에 맞는 정확한 진단과 계획으로 환자분들의 치아를 진단합니다.

커스텀 임플란트 개인 맞춤형 지대주

BARUN SONG

커스텀 임플란트
개인 맞춤형 지대주

일반 치과에서 사용하는 기성 지대주는 획일적인 일자형으로 간혹 보철물과 잇몸 사이에 틈이 벌어져
그 틈으로 음식물이 들어가면서 세균으로 인해 잇몸 염증이 발생할 가능성이 높습니다.



잇몸과 지대주가 완벽하게 밀착되어야 염증 발생가능성이 현저히 낮아지기에,
서울바른송치과에서 진행되는 개인 맞춤형 지대주는
각 개인마다 다른 잇몸의 특성을 고려하여 개인별 잇몸에 딱 맞는 1:1 커스텀 임플란트를 진행합니다.
자연치의 지대주 형태와 최대한 가깝게 설계되어 보철물이 깨지는 것을 방지하며,
잔존 시멘트가 잇몸 내로 말려들어가는 것을 방지하여 잇몸 건강을 지켜드립니다.

BARUN

SONG

SEOUL BARUNSONG DENTAL CLINIC

서울바른송치과가 약속드립니다.
환자 중심의 진료원칙으로 치료를 진행하겠습니다.

서울바른송치과는 3D CT와 프라임 스캐너 등의 디지털 장비를 통해 3차원 이미지를 구축한 뒤,
해당 데이터를 토대로 컴퓨터 모의 수술을 진행하여 식립 각도, 깊이 등을 계산하여

수술 가이드를 만들어 정확한 임플란트 수술을 진행합니다.

  • 무통마취기로 인한편안한 진료

    무통마취기로 인한

    편안한 진료

  • 디지털 장비로 진행되는정확한 진단

    디지털 장비로 진행되는

    정확한 진단

  • 믿을 수 있는 서울대 출신 의료진

    믿을 수 있는

    서울대 출신 의료진

SEOUL BARUNSONG DENTAL CLINIC

치과 공포증과 수술 통증을 줄여주는
통증 치료 시스템

  • 무통마취기

    무통마취기

  • N2O

    웃음가스 진정요법

  • 가글마취액

    가글마취액

  • 마취연고

    마취연고

치과에 대한 두려움을 줄여 드리며, 다양한 마취 방법을 통하여 진료 시 통증을 줄여 드리기 위해
개개인의 몸 상태에 알맞은 마취를 진행하여 편안한 진료를 받으실 수 있습니다.

SEOUL BARUNSONG DENTAL CLINIC

임플란트? 왜 서울바른송치과 인가요?

  • 맞춤형 임플란트 수술
    Point 01

    맞춤형 임플란트 수술

    프라임 스캐너를 이용한 맞춤 임플란트 보철 작업을 통해,
    임플란트와 잇몸 사이의 이물감과 염증을 줄여 오랜 기간 동안
    튼튼한 임플란트 수술이 가능합니다.

  • 3D 디지털 장비 보유
    Point 02

    3D 디지털 장비 보유

    정확한 진단과 수술을 위하여 치아상태를 정밀하게
    파악할 수 있는 다양한 3D 디지털 장비를 보유하여
    임플란트의 성공률을 높여줍니다.

  • 정품 임플란트 사용
    Point 03

    정품 임플란트 사용

    서울바른송치과에서 사용하는 모든 임플란트 재료는 믿을 수 있는 정품만을
    사용하며, 전 세계적으로 유명한 제품인 오스템과 빠른 골유착이 안정적으로
    이루어지는 메가젠 플라즈마 임플란트를 사용합니다.

SEOUL BARUNSONG DENTAL CLINIC

3D 모의시술로 계획을 수립하여 진행하는
서울바른송 네비게이션 임플란트

자동차가 길을 안내하듯이 최적의 수술경로를 미리 찾아 신경위치와 골 조직 등을
정확하게 파악하여 안전하고 빠르게 임플란트를 식립하는 방법입니다.

 네비게이션 임플란트
네비게이션 임플란트 VS 일반 임플란트
전반적인 치료기간 단축 치료 기간 3~6개월 소요
출혈과 붓기가 적어 감염 위험이 적은 편 수술 과정 출혈 및 붓기 동반
비절개 또는 적은 절개 수술 방법 절개 필요
바로 일상 생활 가능 회복 속도 1~2주 소요
SEOUL BARUNSONG DENTAL CLINIC

임플란트 치료 사례

· 네비게이션 임플란트 / 좌측 어금니 식립 case

치료 후 사진은
자세히보기에서 확인하실 수 있습니다.

+ 자세히보기

· 네비게이션 임플란트 / 좌측 어금니 식립 case

치료 후 사진은
자세히보기에서 확인하실 수 있습니다.

+ 자세히보기

· 네비게이션 임플란트 / 앞니, 우측 상하 어금니 식립 case

치료 후 사진은
자세히보기에서 확인하실 수 있습니다.

+ 자세히보기

· 네비게이션 임플란트 / 상하악 식립 case

치료 후 사진

3~4개월 전 타치과에서 시술 마무리하였지만
불편한 곳이 또생겨 검진 진행한 케이스
하악 발치 진행 후 임시틀니 사용,
이후 임플란트 식립 2달 뒤 체결하며 최종 부분 틀니 완성
*환자분 비용부담 보험임플란트 2개,
보험틀니 활용하여 적은 비용으로 하악치료 완성

치료 후 사진은
자세히보기에서 확인하실 수 있습니다.

+ 자세히보기

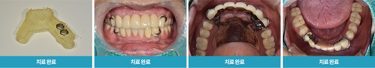
· 네비게이션 임플란트 / 기존 틀니 사용 > 임플란트 식립 case

치료 후 사진은
자세히보기에서 확인하실 수 있습니다.

+ 자세히보기

· 네비게이션 임플란트 / 앞니(전치부 크라운) 식립 case

치료 후 사진은
자세히보기에서 확인하실 수 있습니다.

+ 자세히보기

· 네비게이션 임플란트 / 오른쪽 어금니 발플 후 임플란트 식립 case

치료 후 사진은
자세히보기에서 확인하실 수 있습니다.

+ 자세히보기

치료 후 사진

치료 후 사진은
자세히보기에서 확인하실 수 있습니다.

+ 자세히보기
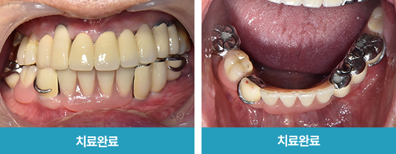
위아래 틀니 사용, 기존 치아 시큰거림, 망가짐
20번대 구치부 본 손실된 치아들 발치
/ 40번대 임플란트 식립 2달 뒤 하악 부분틀니와 함께 인상채득,
최종 보철물 세팅 완료

· 네비게이션 임플란트 / 임플란트 식립 2개월 후 보철물 체결 완료와 더불어 다량의 충치 크라운 치료 진행 case

  • 치료 후 사진

  • 치료 후 사진

  • 치료 후 사진

치료 후 사진은
자세히보기에서 확인하실 수 있습니다.

+ 자세히보기

· 네비게이션 임플란트 / 발치와 동시에 GBR 진행.
3개월 후 임플란트 식립, 2달 후 보철물 체결 case

치료 후 사진은
자세히보기에서 확인하실 수 있습니다.

+ 자세히보기

· 네비게이션 임플란트 / 앞니 발치 후 즉시식립,
로딩 2달 후 보철물 접착 case

치료 후 사진은
자세히보기에서 확인하실 수 있습니다.

+ 자세히보기

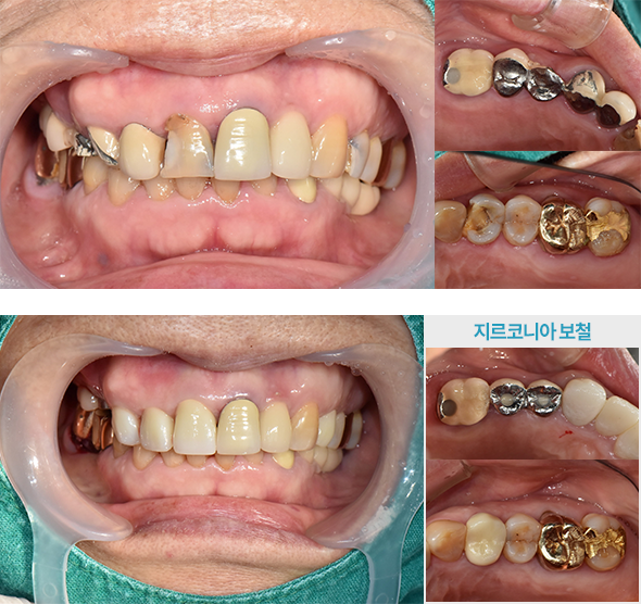
· (임플+지르) 기존 보철물 뜯어내고 임플란트 + 일부 신경치료 후 지르코니아 보철물 진행 case

치료 후 사진은
자세히보기에서 확인하실 수 있습니다.

+ 자세히보기

· 오른쪽 아래 발치 후 뼈이식 진행,
2달 후 임시치아 체결 ≫
3주 뒤 최종 보철물 장착 임플란트 case

치료 후 사진은
자세히보기에서 확인하실 수 있습니다.

+ 자세히보기

· 오른쪽 치아 부러짐 / 남은 뿌리 발치 후
뼈이식을 동반한 임플란트 진행 case

치료 후 사진은
자세히보기에서 확인하실 수 있습니다.

+ 자세히보기

치료 후 사진은
자세히보기에서 확인하실 수 있습니다.

+ 자세히보기

· 네비게이션 임플란트 / 발치 후
일부 치아 GBR 동반 식립 case

  • 치료 후 사진

  • 치료 후 사진

치료 후 사진은
자세히보기에서 확인하실 수 있습니다.

+ 자세히보기

· 뼈이식을 동반한 임플란트 식립 case

치료 후 사진은
자세히보기에서 확인하실 수 있습니다.

+ 자세히보기

· 어금니 씌운지 14년 / 어금니 통증으로 내원,
잇몸이 녹아 임플란트 식립 case

치료 후 사진은
자세히보기에서 확인하실 수 있습니다.

+ 자세히보기

· 네비게이션 임플란트 / 재근관치료 & 발치 후 즉시 식립
& 임플란트 보철물 장착 case

치료 후 사진은
자세히보기에서 확인하실 수 있습니다.

+ 자세히보기

[ 환자분의 동의서 작성 후 게시하였습니다 ]

SEOUL BARUNSONG DENTAL CLINIC

임플란트 결과로 보여드리는
서울바른송치과의 디지털 장비

  • 3D CT

    3D CT

    서울대학교 치과병원과 동일한 스펙의 CT로 환자의
    치아 상태를 정밀하게 확인하여 정확한
    임플란트 수술을 진행합니다.

  • 프라임 스캐너

    프라임 스캐너

    3D 구강스캐너로 구강 내 파우더를 도포하지 않아 간편하게
    인상 채득이 가능하며, 원내에서 원장이 보철물을
    직접 제작하기에 빠른 시일 내에 제작이 가능합니다.

  • 3D 프린터

    3D 프린터

    보철물의 내외부 형상을 Full HD급 고정밀로 빠르게 출력
    가능한 장비입니다. 약 1시간 정도의 짧은 시간 안에 가이드
    생산이 가능하여 임플란트 수술시간도 단축되었습니다.

SEOUL BARUNSONG DENTAL CLINIC

임플란트 수술 후 주의사항

  • 01.

    가능한 입안에 고이는 침이나 피는 불편하더라도 뱉지 말고 삼키십시오.
    침을 뱉는 것은 지혈에 도움이 되지 않으며, 수술 후 일주일 정도 간헐적인 출혈이 있을 수 있습니다.

  • 02.

    2~3시간 후 마취한 부위의 마취가 풀리면서 약간의 통증이 있을 수 있습니다.
    통증의 조절, 수술 후 감염과 부종 등을 예방하기 위해 처방된 약은 수술 후 1시간 이내 첫 복용을 권장하며, 끝까지 복용해 주십시오.

  • 03.

    혀나 손으로 수술 부위를 건들이지 말아 주십시오. (상처의 벌어짐, 치유지연, 2차 감염 예방)

  • 04.

    멍이 들거나 많이 부으실 수 있으니 수술 부위는 48시간(2일)동안 냉찜질 하십시오.
    (특히 치조골이식술 동반 시) 통증이 적어지고 덜 붓게 됩니다. → 얼음찜질 10분, 휴식 10분을 반복하세요.

  • 05.

    주무실 때는 평소보다 베개를 조금 높게 해서 주무시면 붓기를 예방할 수 있고
    베개 위에 수건을 깔고 주무시면 혹시 모를 출혈에 이부자리를 보호할 수 있습니다.

  • 06.

    수술 후 당일은 유동식(죽과 같은 부드러운 음식)을 섭취하시기 바랍니다.
    뜨거운 음식, 자극적인 음식(짜고 매운 음식)은 피하시는 것이 좋습니다.

  • 07.

    무엇보다 중용한 것은 입안의 청결이므로 수술 부위 이외에는 양치질을 하시되 수술 부위는 실이 풀릴 수 있으니 칫솔질 하지 마시고
    구강소독액으로 가글을 해주십시오. (하루 2~3회, 가글 후 30분~1시간 음식물 섭취 금지)

  • 08.

    원뿔 모양의 나사가 빠졌다면, 임플란트 위에 덮어놓는 뚜껑같은 것이니 놀라지 마시고 치과에 내원해 주세요.

  • 09.

    뼈 이식을 동반한 수술의 경우에 양치나 가글 시 나오는 가루는 여분의 이식재이므로 걱정하지 않으셔도 됩니다.

SEOUL BARUNSONG DENTAL CLINIC

임플란트 보철 후 주의사항

  • 01.

    흔들려요
    임플란트와 인공치아는 작은 나사를 연결해 조립하는 형태로 되어 있습니다.
    이 연결 나사가 조금씩 풀렸을 때 임플란트가 흔들리는 것처럼 느낄 수 있습니다. 대부분 치과를 방문해 나사를 조이면 큰 문제가 없습니다.

  • 02.

    음식물이 껴요
    임플란트 인공치아는 자연치와 모양이 다르고, 음식을 씹을 때의 움직임도 다릅니다.
    그래서 임플란트와 자연치아 사이의 공간은 조금 크고, 이 공간으로 음식물도 자주 낄 수 있습니다.
    치실로 자주 청소하여 주시고 치실로도 잘 제거되지 않거나 불편하시면 내원하여 주십시오.

  • 03.

    통증이 있어요
    임플란트 보철물을 장착한 후 교합되는 반대편의 치아가 며칠 동안 통증이 있을 수 있습니다.
    이 현상은 한동안 안쓰던 치주인대가 수축하여 생기는 일시적인 형상이니 걱정하지 않으셔도 됩니다.

  • 04.

    이렇게 관리하세요
    임플란트는 자연치보다 잇몸병에 더 약합니다. 심하면 임플란트를 제거해야 할 수도 있습니다.
    병원에서 추천하는 구강위생 관리방법을 잘 이해하시고, 실천하셔야 합니다.
    또한 특별히 문제가 없어도 3~6개월 간격으로 정기검진을 받으십시오.

  • * 현재 임플란트가 본인의 치아를 대신하는 가장 좋은 방법이긴 하나 본인의 치아가 가장 좋습니다.
    * 본인의 치아를 아끼고 건강하게 유지하기 위해 노력하셔야 합니다.

BARUNSONG
DENTAL CLINIC

보건복지부 인증 전문의
통합치의학과 전문의

서울바른송치과는 보건복지부 인증 전문의들로
구성되어 있으며, 담당 의료진이 1:1 맞춤 진단으로
직접 책임 진료합니다.

우리 동네
서울대치과

서울바른송치과는 서울대 출신
의료진으로 우리 동네의 대학병원급
치과로 지향하고 있습니다.

대학병원급
디지털 장비 보유

3D CT, 프라임스캔 스캐너, 3D 프린터 등 대학병원급
장비를 보유하며, 디지털 장비를 통해 체계적인
진단 과정과 정밀하게 분석 및 치료가 가능합니다.

철저한
멸균 시스템

2차 감염을 예방하기 위해 ‘1인 1기구 원칙’을
준수하고 있으며, 정해진 매뉴얼대로 철저한 멸균소독과
감염관리를 통해 청결한 진료 환경을 유지하고 있습니다.

환자를 우선으로
하는 진료

서울바른송치과에서는 모든 환자를 내 가족처럼 진료하여
꼭 필요한 치료만을 권유해 드리며, 과잉진료를 절대 엄금하며,
개인의 치아 생태를 바탕으로 치료의 목적 및 우선 순위 등
다양한 방향을 고려해 알맞은 치료 방법을 제시합니다.

  • 전화상담
  • 카톡상담
  • 네이버예약
  • 오시는길
top